Cabinet dentaire Dr Sébastien Maillard
Cabinet dentaire
Dr Sébastien Maillard
Nous vous souhaitons la bienvenue sur notre site internet où vous y trouverez des informations relatives au soins que nous proposons et à notre cabinet. Un cadre chaleureux dans lequel nous avons plaisir de vous accompagner et conseiller tout au long de votre parcours de soins dentaires.
Pour toute question ou prise de rendez-vous nous vous invitons à contacter notre secrétariat ou en ligne directement via notre site internet.
équipe
le CABINET
Lorem ipsum dolor sit amet, consectetur adipiscing elit. Enim in arcu accumsan ac varius et
Sit enim pellentesque nisi, porttitor blandit habitant arcu. Eget convallis maecenas amet non a malesuada. Amet, metus, turpis tortor ultricies.
Lorem ipsum dolor sit amet, consectetur adipiscing elit. Enim in arcu accumsan ac varius et.
Nos domaines de compétence
Nos
technologies
CONFORT
& HYGIENE
Bloc operatoire
Utilisé lors d’interventions chirurgicales est
le garant d’une aseptie rigoureuse.
Cette salle est organisée de sorte
qu’elle soit le plus ergonomique possible.
Dans cette salle, les patients ainsi que
les soignants portent des casaques chirurgicales,
des charlottes et surchaussures stériles.
Sterilisation & tracabilite
La sécurité et le confort de chaque patient
et de chaque membre de l’équipe est une priorité
au sein du cabinet,qui applique avec rigueur
une procédure de stockage des instruments à l’abri
de toute contamination pour garantir
une hygiène parfaite entre chaque visite.
LA REHABILITATION GLOBALE
ullamcorper sit elit. Posuere ornare non urna, nunc est. Id porttitor
ut vitae in feugiat amet vitae ultrices. Aliquam in elit et arcu feugiat
pellentesque.
PARCOURS DE PRISE EN CHARGE
Evaluation et diagnostic
Plan de traitement global
Soins et réhabilitation
Prophylaxie et maintenance
Traitements
Chirurgie orale & l’implantologie
Lorem ipsum dolor sit amet, consectetur adipiscing elit. Orci enim, ullamcorper sit elit. Posuere ornare non urna, nunc est. Id porttitor ut vitae in feugiat amet vitae ultrices. Aliquam in elit et arcu feugiat pellentesque.
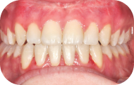
Réhabilitation esthétique
Lorem ipsum dolor sit amet, consectetur adipiscing elit. Orci enim, ullamcorper sit elit. Posuere ornare non urna, nunc est. Id porttitor ut vitae in feugiat amet vitae ultrices. Aliquam in elit et arcu feugiat pellentesque.
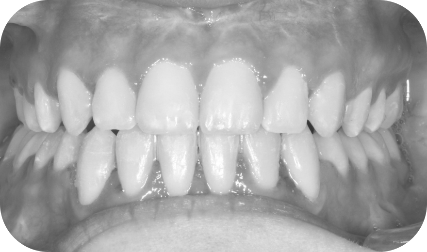
L’endodontie
Restauration adhésive en céramique
Soins des gencives, soins des tissus
Lorem ipsum dolor sit amet, consectetur adipiscing elit. Orci enim, ullamcorper sit elit. Posuere ornare non urna, nunc est. Id porttitor ut vitae in feugiat amet vitae ultrices. Aliquam in elit et arcu feugiat pellentesque.
Composite stratifié
Soins des gencives, soins des tissus
Lorem ipsum dolor sit amet, consectetur adipiscing elit. Orci enim, ullamcorper sit elit. Posuere ornare non urna, nunc est. Id porttitor ut vitae in feugiat amet vitae ultrices. Aliquam in elit et arcu feugiat pellentesque.
Les prothèses fixes & amovibles
Soins des gencives, soins des tissus
Lorem ipsum dolor sit amet, consectetur adipiscing elit. Orci enim, ullamcorper sit elit. Posuere ornare non urna, nunc est. Id porttitor ut vitae in feugiat amet vitae ultrices. Aliquam in elit et arcu feugiat pellentesque.
Les facettes céramiques
Soins des gencives, soins des tissus
Lorem ipsum dolor sit amet, consectetur adipiscing elit. Orci enim, ullamcorper sit elit. Posuere ornare non urna, nunc est. Id porttitor ut vitae in feugiat amet vitae ultrices. Aliquam in elit et arcu feugiat pellentesque.
zone PATIENTS
Découvrir
Accès
Dr Maillard © 2026 - Tous droits réservés
Conception et réalisation : Mediweb
Mentions légales
